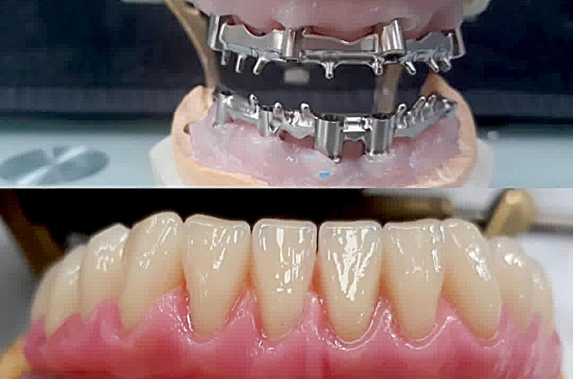
En Prosac Dental somos expertos en el trabajo de prótesis con materiales biocompatibles, nos apoyamos en los últimos avances y técnicas, todo esto realizado de forma digital. El zirconio, el disilicato de litio y el titanio son únicos a tener en cuenta, ya que además de no dañar el tejido bucal, nos permiten una realización altamente estética. Las estructuras de titanio son las más ligeras y proporcionan un ajuste pasivo y hermetización de excelente calidad.
Prosac Dental se fundó en el año 2007, nuestro equipo cuenta con más de 25 años en el sector.
Armonía dentaria, especialmente en zirconio y disilicato.
Damos soluciones a cualquier caso a rehabilitar.
Resinas y composites de alta calidad y estética.
Diseños personalizados con gran precisión de fresado.
La calidad de cada pieza es única. Nuestra labor consiste en crear lo mejor con el mejor material.
Nuestro protocolo es estricto con el objetivo de crear rehabilitaciones estéticas, funcionales y 100% personalizadas.
Contamos con un equipo altamente cualificado. Nuestros años de experiencia nos avalan.
Cumplimos con todas las normativas vigentes exigidas por la Consejería de Sanidad.
La importancia de los materiales biocompatibles es algo que tenemos que tener en cuenta a la hora de poder elegir nuestro trabajos. En nuestro laboratorio hemos optado por estos materiales, confiando en nuestros controles de calidad perfeccionando cada trabajo al 100%.
En Prosac Dental hemos realizado cientos de trabajos bucodentales dando soluciones funcionales, siempre con la más alta estética y garantía. En nuestro laboratorio hemos optado por una fabricación con materiales biocompatibles, en especial, el titanio, que colabora favorablemente en la durabilidad del implante sin deformar su conexión.
Trabajamos con toda España, cumpliendo los plazos estimados de forma rigurosa.
Dirección: C/ Tarragona 20 Local 1A, 28977, Casarrubuelos, Madrid.
Horario: 9:00 – 19:00
Teléfono: 918 12 48 25
